眼底撮影装置 Ryan Scope/ライアンスコープ
進化を遂げた手持ち眼底カメラ
● 無散瞳 明室撮影
● オートフォーカス
● 自動シャッター
● 軽量 コンパクト
● タッチパネル方式 LCDモニター
● 訪問診療・ベッド脇・小児検査にも有用
製品特徴
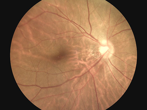
画角 45度
フォーカス範囲 -20D~+20D
無散瞳 明室撮影可能
オートフォーカスで確実に捉える
オートショットで手振れ軽減
軽量・コンパクトで往診やベッドサイドでも
本体付属品
眼底カメラ
(1) コントロールユニット
(2) 眼底カメラ用レンズ
眼底カメラの付属品
(1) バッテリー
(2) チャージングステーション
(3) HDMIケーブル
(4) USB-ケーブル
(5) メモリーカード
(6) パワーアダプタ
(7) アイカップ
(8) デジタルイメージボックス(オプション)
(9) あご載せ台(オプション)
眼底撮影装置 製品仕様
センサー: 5メガピクセル (2592 x 1944)
LCDモニター: 3.5インチタッチパネル・マルチタッチ
ファイル保存: マイクロSDカード (2~32G)
インターフェース : Wi-Fi・マイクロHDMI・ミニUSB
機能 : オートフォーカス・オートキャプチャ・自動露出
写真解像度 : 2560 x 1920
ビデオ解像度 : 2560 x 1920
- 認証番号:304ADBZX00087000







